Implants
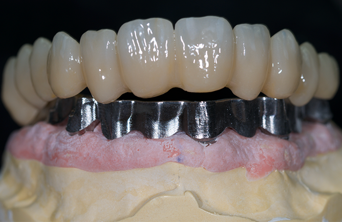
Prothèse sur implant dentaire avec armature métallique et couronnes céramiques sur modèle dentaire

Implants dentaires

Dans notre laboratoire de prothèse dentaire, nous sommes fiers de vous offrir les meilleures solutions pour remplacer vos dents manquantes ou endommagées. Les implants dentaires sont notre spécialité, et nous avons des années d’expérience et de formation pour vous offrir des résultats esthétiques et fonctionnels de haute qualité.

 

Notre équipe de prothésistes dentaires qualifiés est à la pointe de la technologie dans la réalisation des implants dentaires.

Réalisations